北京索莱宝科技有限公司品牌商

14

手机商铺

qrcode
商家活跃:
产品热度:
  • NaN
  • 0
  • 0
  • 2
  • 2
品牌商

北京索莱宝科技有限公司

入驻年限:14

  • 联系人:

    龚思雨

  • 所在地区:

    北京

  • 业务范围:

    试剂、实验室仪器 / 设备、耗材、技术服务

  • 经营模式:

    生产厂商 经销商 代理商

在线沟通

公司新闻/正文

线粒体标志物

891 人阅读发布时间:2024-01-09 09:04

线粒体是一种存在于大多数细胞中的由两层膜包被的细胞器,它不仅是细胞中能够制造能量的结构,还是细胞进行有氧呼吸的主要场所,有细胞“动力工厂”之称。线粒体虽然拥有专属的遗传物质和遗传体系,但是由于它的基因组大小有限,它只是一种半自主的细胞器。

 

凋亡诱导因子(AIF)是在凋亡过程中被释放到胞质溶胶中的线粒体蛋白之一,它是第一个被发现调节胱天蛋白酶非依赖性凋亡的蛋白。AIF编码一种67kDa的蛋白质,在N-末端含有线粒体定位信号。

图片

图1 AIFM1抗体免疫组化结果图

(货号:K112704P)

 

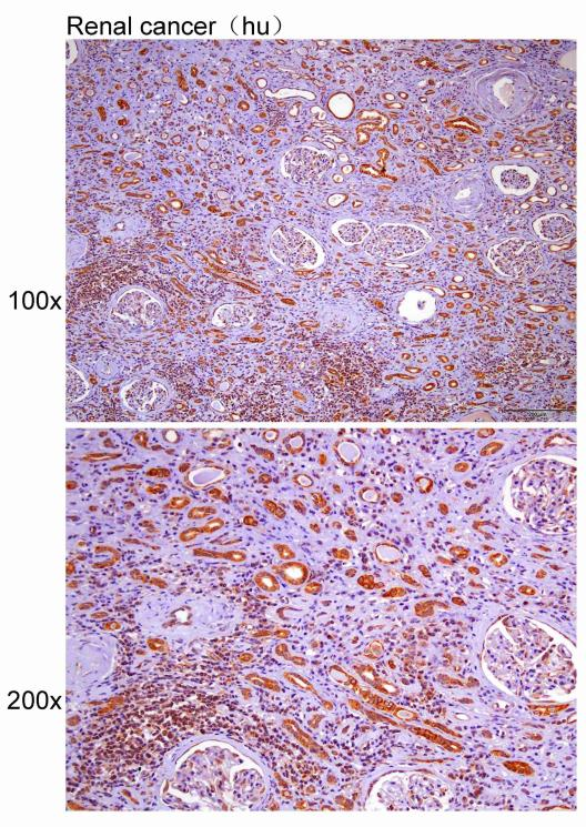
线粒体前蛋白移位酶(TOM)是一种多亚单位蛋白复合物,促进核编码的前体蛋白穿过线粒体外膜的输入。TOM20属于TOM家族,它是线粒体输入受体的一个亚单位,其主要作用是通过线粒体外膜转运胞质合成的线粒体蛋白质,进而促进蛋白质运动进入TOM40易位孔复合物。

图片

图1 TOMM20抗体免疫组化结果示意图

(货号:K107114P)

已有一些蛋白被鉴定可用作线粒体标志物(见表1)。

 

表 1 线粒体标志物

 

图片

 

相关产品

 

产品货号

产品名称

K003425P

Anti-AIFM1

Polyclonal Antibody

K107587P

Anti-TOM20

Polyclonal Antibody

K108946P

Anti-ATP5F1A

Polyclonal Antibody

K002036P

Anti-HK1

Polyclonal Antibody

K111516P

Anti-HK1

Polyclonal Antibody

K001571P

Anti-PHB

Polyclonal Antibody

 K106543P

Anti-HSPD1

Polyclonal Antibody

上一篇

宠粉活动|2023索莱宝数千份大礼和超值福利大揭秘

下一篇

花香蝶自来|Solarbio小分子化合物“优秀员工展”第十一期

更多资讯

我的询价