14 年
手机商铺
公司新闻/正文
1203 人阅读发布时间:2024-06-28 15:37
细胞器标志物抗体是细胞生物学中常用的研究工具。靶向特定的抗体有助于了解蛋白的亚细胞定位以及探究其生物功能,也可以在细胞器分离提取物的蛋白质印迹分析中用作阳性对照。
核仁(nucleolus)是真核细胞间期核中最显著的结构,通常表现为单一或多个匀质的球形小体。它位于细胞核内,主要由蛋白质、DNA 和 RNA 组成,可分为纤维中心(Fibrous Center, FC),致密纤维组分(Dense Fiber Component, DFC),颗粒组分(Granular Component, GC)以及致密纤维组分外围(Periphery of Dense Fiber Component, PDFC)四部分。核仁主要负责 rRNA 的合成、加工以及核糖体亚单位的组装,可参与调节基因表达,与细胞周期的进程密切相关,对染色体的结构和功能有重要影响。
核仁素(Nucleolin,简称 NCL 或 C23)是一种在真核生物核仁中高度表达的蛋白质,常用作核仁的标志物。它主要位于核仁的致密纤维状区域,在细胞核、细胞质和细胞膜中也有分布。NCL 具有多种生物学功能,包括调控核糖体的生物合成与成熟、参与细胞增殖、生长、胚胎发生、胞质分裂、染色质复制以及抗细胞凋亡等作用。

图 1 C23 抗体蛋白质印迹分析结果图
(货号:K106819P)
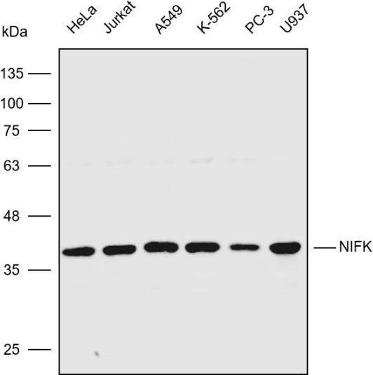
NIFK(Nucleolar protein interacting with the FHA domain of pKI 67)是一种在核仁中发现的蛋白质,与 MKI67 的 FHA 结构域相互作用。NIFK 与细胞周期进程和有丝分裂密切相关,其编码的蛋白质可以与 Ki67 抗原的 FHA 结构域相互作用,这种相互作用对于细胞周期的调控和细胞的增殖具有重要意义。

图 2 NIFK 抗体蛋白质印迹分析结果图
(货号:K107386P)
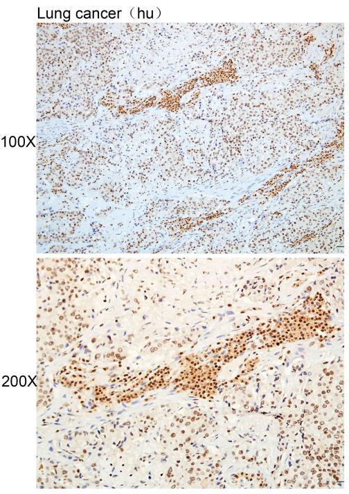
核仁纤维蛋白(Fibrillarin,简称 FBL)是一种 34 kDa 的核仁 RNA 2'-O-甲基转移酶,是一种高度保守的蛋白质,位于核仁的致密原纤维成分中。FBL 在细胞增殖、衰老、肿瘤的发生和发展过程中发挥重要作用。

图 3 FBL 抗体免疫组化结果图
(货号:K113014P)
已有一些蛋白被鉴定可用作核仁标志物(见表 1)。
表 1 细胞核标志物
