14 年
手机商铺
公司新闻/正文
445 人阅读发布时间:2024-11-29 17:34
细胞膜标志物
细胞膜是细胞的外部结构,是防止细胞外物质自由进入细胞的屏障,它不仅为细胞提供物理保护,还负责控制物质的进出、细胞间通讯以及许多其他重要功能。细胞膜主要由磷脂双分子层构成,其中包含蛋白质、胆固醇和糖分子。磷脂双分子层由两个磷脂分子层组成,疏水性的脂肪酸尾部朝内,亲水性的头部朝外形成一个半透膜。
细胞间黏附分子(Cell Adhesion Molecules,CAMs)、受体酪氨酸激酶(Receptor Tyrosine Kinases,RTKs)和离子通道蛋白等细胞膜标志物在细胞功能和信号转导中起关键作用。CAMs是一类膜蛋白,具有细胞黏附、细胞间通信和信号传导的功能。RTKs是一类跨膜受体蛋白,能够通过受体激酶活化细胞内的信号通路。常见的RTKs包括表皮生长因子受体(EGFR)、血小板源性生长因子受体(PDGFR)和神经生长因子受体(NGFR)等。离子通道蛋白是一类位于细胞膜上的蛋白质,它们形成了穿越细胞膜的通道,能够调节细胞内外离子的平衡。常见的离子通道蛋白包括钠、钾和钙通道等,它们对于维持细胞的电生理特性和信号转导至关重要,并且参与神经传导、肌肉收缩和心脏节律等生理过程。
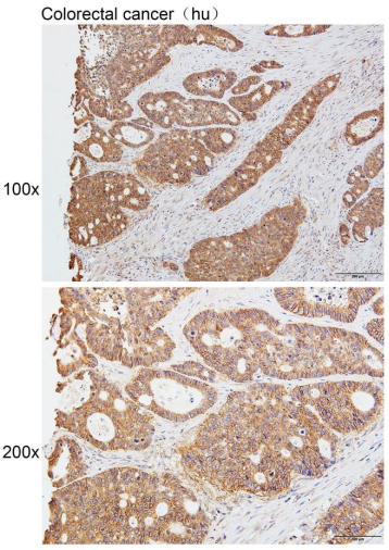
ATP1A1编码的蛋白属于p型阳离子转运ATP酶家族和Na+/K+ - ATP酶亚家族。ATP1A1是活性酶的催化成分,可催化ATP的水解,并通过质膜交换钠离子和钾离子。这一作用产生了钠离子和钾离子的电化学梯度,为各种营养物质的主动运输提供能量。

图1 ATP1A1抗体免疫组化结果示意图
(商品货号:K111558P)
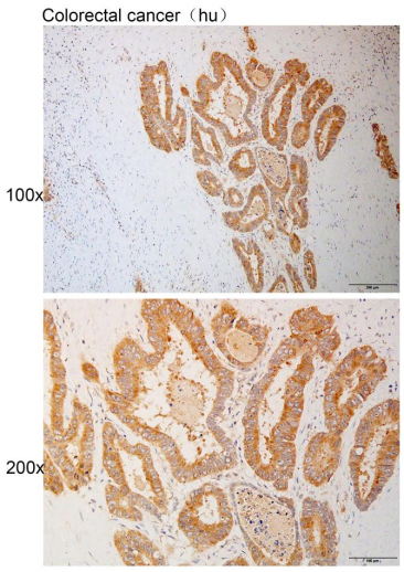
CDH3基因位于16号染色体长臂区域的一个基因簇中,编码钙粘蛋白超家族中的一种经典钙粘蛋白。钙粘蛋白是一种依赖钙的细胞粘附蛋白,它们在连接细胞时优先以亲同性的方式相互作用,钙粘蛋白可能有助于异质细胞类型的分选。

图3 CDH3抗体免疫组化结果示意图
(商品货号:K111121P)
表 1 细胞膜标志物



相关产品
|
产品货号 |
产品名称 |
|
K109982P |
Anti-ATP1A1 Polyclonal Antibody |
|
K110469P |
Anti-ATP1A1 Polyclonal Antibody |
|
K111558P |
Anti-ATP1A1 Polyclonal Antibody |
|
K005524P |
Anti-ATP1A1 Polyclonal Antibody |
|
K007644P |
Anti-ATP1A1 Polyclonal Antibody |
|
K111556P |
Anti-ATP1A2 Polyclonal Antibody |
|
K004215P |
Anti-ATP1B1 Polyclonal Antibody |
|
K106561P |
Anti-CADH1 Polyclonal Antibody |
|
K010592M |
Anti-CD26(APC) Monoclonal Antibody |
|
K010787M |
Anti-CD26(FITC) Monoclonal Antibody |
|
K011048M |
Anti-CD26(PE) Monoclonal Antibody |
|
K115158P |
Anti-CDH1 Polyclonal Antibody |
|
K002267P |
Anti-CDH1 Polyclonal Antibody |
|
K111121P |
Anti-CDH3 Polyclonal Antibody |
|
K008218P |
Anti-CDH3 Polyclonal Antibody |
|
K111282P |
Anti-CDH5 Polyclonal Antibody |
|
K001742P |
Anti-CDH5 Polyclonal Antibody |
|
K106786P |
Anti-DPP4 Polyclonal Antibody |
|
K002791P |
Anti-DPP4 Polyclonal Antibody |
|
K011355P |
Anti-E-Cadherin Polyclonal Antibody |
|
K000137M |
Anti-EGFR Monoclonal Antibody |
|
K000139M |
Anti-EGFR Monoclonal Antibody |
|
K000140M |
Anti-EGFR Monoclonal Antibody |
|
K106563P |
Anti-EGFR Polyclonal Antibody |
|
K112830P |
Anti-EGFR Polyclonal Antibody |
|
K112831P |
Anti-EGFR Polyclonal Antibody |
|
K002208P |
Anti-EGFR Polyclonal Antibody |
|
K002209P |
Anti-EGFR Polyclonal Antibody |
|
K002298P |
Anti-EGFR Polyclonal Antibody |
|
K002300P |
Anti-EGFR Polyclonal Antibody |
|
K009458P |
Anti-EGFR Polyclonal Antibody |
|
K009564P |
Anti-EGFRvII Polyclonal Antibody |
|
K009589P |
Anti-phospho-CTNNB1(Ser33+37) Polyclonal Antibody |
|
K006171P |
Anti-Phospho-EGFR-T669 Polyclonal Antibody |
|
K006212P |
Anti-Phospho-EGFR-Y1068 Polyclonal Antibody |
|
K006173P |
Anti-Phospho-EGFR-Y1148 Polyclonal Antibody |
|
K006169P |
Anti-Phospho-EGFR-Y845 Polyclonal Antibody |
|
K006172P |
Anti-Phospho-EGFR-Y992 Polyclonal Antibody |
|
K006172P |
Anti-Phospho-EGFR-Y992 Polyclonal Antibody |