14 年
手机商铺
公司新闻/正文
194 人阅读发布时间:2025-03-04 14:12
脓毒症(sepsis)是机体对感染的反应失调而导致的器官功能障碍。当机体遭受感染时,免疫系统会被激活以清除病原体,但在脓毒症患者中,这种免疫反应会失去控制,引发过度的炎症反应,进而对机体自身的组织和器官造成损伤。高迁移率族蛋白B1(HMGB1,high mobility group box 1 protein)是一种在细胞内广泛存在的非组蛋白染色体结合蛋白,一旦分泌到细胞外,即可发挥致炎作用,是内毒素致死效应的晚期重要炎症介质。HMGB1在脓毒症、肿瘤、关节炎等多种疾病的发病过程发挥着重要作用。小编本期推荐的明星抗体K116363P,可是侦察HMGB1蛋白的得力干将,让我们一起来认识下吧!
明星抗体
三维数据卡

抗体靶向
人类HMGB1基因位于位于13号染色体的13q12区段,包括5个外显子和4个内含子。HMGB1蛋白由3个结构域组成:N-末端的A-box高度保守,参与DNA结合;中间的B-box具有DNA结合能力;C末端的C-tail富含天冬氨酸和谷氨酸残基,可调节HMGB1与DNA的亲和力。该蛋白在细胞核中,主要参与DNA的稳定、基因表达调节和DNA修复;在细胞质中,参与细胞内钙离子平衡、线粒体功能调节以及自噬和应激反应的信号传导;在细胞外,其作为DAMP分子,通过激活免疫受体介导炎症和免疫反应,促进组织生长和组织再生。这些多功能特性使HMGB1在多种生理和病理过程中发挥重要作用。
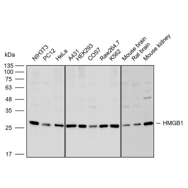
蛋白分子量
HMGB1蛋白质的标准序列含有215个氨基酸,理论分子量约25kDa,实际蛋白分子量约27kDa(参考Western blot验证结果)。

图 1 K116363P-Western blot验证
亚细胞定位
高迁移率族蛋白B1(HMGB1)主要定位于细胞核、细胞质、细胞膜、核内体,或被分泌至细胞外

图 2 HMGB1的亚细胞定位示意图
组织分布
HMGB1在多种组织中广泛分布,包括淋巴组织、脑、肝、肺、心、脾和肾等。HMGB1除在肝、脑组织中主要存在于胞浆外,在大多数组织中存在于胞核。这种广泛的分布和不同的亚细胞定位使得HMGB1能够在多种生理和病理过程中发挥其关键作用。

图 3 K116363P-Immunohistochemistry验证

图 4 K116363P-Immunofluorescence验证
生物学功能
高迁移率族蛋白1(HMGB1)作为一种多功能蛋白,在多种生理和病理过程中发挥重要作用。HMGB1能够激活Toll样受体4(TLR4)和晚期糖基化终产物受体(RAGE)介导的信号通路,从而调节促炎因子的水平,参与炎症反应。在心脑血管疾病中,HMGB1的异常表达与炎症反应密切相关,其作为生物标志物和潜在治疗靶点的研究正在不断深入。在癌症领域,HMGB1的过表达在多种肿瘤中普遍存在。它通过增强抗凋亡机制、促进炎症反应、免疫逃逸以及有氧糖酵解等方式,推动肿瘤的生长、增殖、迁移和血管生成。此外,HMGB1在肿瘤微环境中以旁分泌和自分泌因子的形式存在,调节肿瘤微环境中的炎症和免疫抑制,进而影响肿瘤的进展。在皮肤疾病方面,HMGB1能够下调表皮相关蛋白(如丝聚蛋白)的表达,进而影响表皮细胞的生长、分化和成熟,损害皮肤屏障功能,从而促进特应性皮炎等炎症性皮肤病的发生。这些功能特性使得HMGB1在炎症、癌症和皮肤疾病等领域具有重要的研究和应用价值。
相关产品
|
产品货号 |
产品名称 |
|
P09142 |
Recombinant human HMGB1 protein |
|
K106630P-Ag |
HMGB1 Antibody Blocking Peptide |
|
K116363P |
Anti-HMGB1 Polyclonal Antibody |
|
K009115P |
Anti-HMGB1 Polyclonal Antibody |
|
K003412P |
Anti-HMGB1 Polyclonal Antibody |
|
K106630P |
Anti-HMGB1 Polyclonal Antibody |
|
K010501P |
Anti-HMGB1 Polyclonal Antibody |
|
K011504M |
Anti-HMGB1 Monoclonal Antibody |
|
K116263P |
Anti-HMGB1 Polyclonal Antibody |
|
K115487P |
Anti-HMGB1 Polyclonal Antibody |
|
SEKM-0145 |
Mouse HMGB1 ELISA Kit |
|
SEKH-0409 |
Human HMGB1 ELISA Kit |
|
SEKR-0074 |
Rat HMGB1 ELISA Kit |
|
SE134 |
羊抗兔IgG-HRP |
|
SF131 |
羊抗小鼠IgG–FITC |
|
K1034G-AF594 |
SAlexa Fluor 594标记的 羊抗兔IgG |
|
VT016674 |
pLVX-shRNA1-HMGB1 (human)-shRNA3 |
|
PR1910 |
彩虹180广谱蛋白Marker (11-180KD) |
|
PC0020 |
BCA蛋白浓度测定试剂盒 |
|
SWBT-001A |
Western blot通用试剂盒(兔) PVDF膜-0.45μm |
|
SIHCT-001 |
IHC通用试剂盒(兔/小鼠) |
|
PE0010 |
ECL Plus超敏发光液 |
|
P1200 |
SDS-PAGE凝胶制备试剂盒 |
|
SP0041 |
通用SP检测试剂盒 |